หน่วยปฏิบัติการวิจัยการวินิจฉัยเชื้อราทางการแพทย์

หน่วยปฏิบัติการวิจัยการวินิจฉัยเชื้อราทางการแพทย์

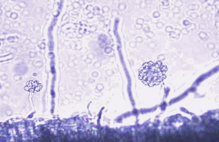
Research Unit of Medical Mycology Diagnosis หน่วยปฏิบัติการวิจัยการวินิจฉัยเชื้อราทางการแพทย์ ตั้งขึ้นภายใต้พันธกิจ 3 ประการ ดังนี้ สมาชิกในหน่วย ความร่วมมือกับสถาบันอื่น ติดต่อ อ.ดร.ทนพญ.นวพร วรศิลป์ชัย หน่วยปฏิบัติการวิจัยการวินิจฉัยเชื้อราทางการแพทย์ภาควิชาเวชศาสตร์การธนาคารเลือดและจุลชีววิทยาคลินิก คณะสหเวชศาสตร์ จุฬาลงกรณ์มหาวิทยาลัย 154 อาคารจุฬาพัฒน์ 1 ถนนพระราม 1 แขวงวังใหม่ เขตปทุมวัน กรุงเทพมหานคร 10330 โทร: 0 2218 1081 แฟกซ์: 0 2218 1082E-mail: Navaporn.w@chula.ac.th

หน่วยปฏิบัติการวิจัยการปรับภูมิคุ้มกันโดยผลิตภัณฑ์ธรรมชาติ

หน่วยปฏิบัติการวิจัยการปรับภูมิคุ้มกันโดยผลิตภัณฑ์ธรรมชาติ

Research unit of Immunomodulation of Natural Products หน่วยปฏิบัติการวิจัยการปรับภูมิคุ้มกันโดยผลิตภัณฑ์ธรรมชาติ มีเป้าหมาย (Ultimate Goal) ที่จะเป็นผู้นำของประเทศไทยด้านการศึกษาวิจัยผลิตภัณฑ์ธรรมชาติ เช่น พืชสมุนไพรและเห็ดชนิดต่างๆ  ในการปรับภูมิคุ้มกัน ต้านมะเร็ง และโรคติดเชื้อ รวมถึงการประยุกต์ใช้องค์ความรู้แห่งศาสตร์การปรับภูมิคุ้มกันในการทำนาย ติดตาม และรักษาโรคติดเชื้อที่ยาปฏิชีวนะในปัจจุบันยังมีประสิทธิภาพไม่ดี นำไปสู่การพัฒนานวัตกรรมผลิตภัณฑ์สุขภาพชนิดต่างๆ จากสารสกัดจากธรรมชาติเพื่อการใช้ประโยชน์ได้จริง และพัฒนาสู่การเป็นศูนย์ความเป็นเลิศภายในระยะเวลา 3 ปี วัตถุประสงค์ของโครงการ Objectives สมาชิกในหน่วย ความร่วมมือกับสถาบันอื่น ผลงานวิจัย ติดต่อ ผศ.ดร.ทนพญ.ศิริพร ชื้อชวาลกุล ภาควิชาเวชศาสตร์การธนาคารเลือดและจุลชีววิทยาคลินิก คณะสหเวชศาสตร์ จุฬาลงกรณ์มหาวิทยาลัย 154 อาคารจุฬาพัฒน์ 1 ถนนพระราม 1 แขวงวังใหม่ เขตปทุมวัน กรุงเทพมหานคร 10330 โทร: 0 2218 1084 E-mail: Siriporn.ch@chula.ac.th

หน่วยปฏิบัติการวิจัยนวัตกรรมตรวจวินิจฉัยเชื้อดื้อยา

หน่วยปฏิบัติการวิจัยนวัตกรรมตรวจวินิจฉัยเชื้อดื้อยา

Research unit of innovative diagnosis of antimicrobial resistance ขอบเขตการวิจัย เชื้อจุลชีพดื้อยาเป็นปัญหาที่สำคัญของโลกในช่วงหลายสิบปีที่ผ่านมา จากข้อมูลขององค์การอนามัยโลกระบุว่าการแพร่กระจายของเชื้อแบคทีเรียดื้อยาที่เพิ่มขึ้นอย่างรวดเร็วในทุกภูมิภาคของโลก ส่งผลต่อความเจ็บป่วยที่รุนแรงและการเสียชีวิตของผู้ป่วยตามมา ดังนั้นการพัฒนางานวิจัยและนวัตกรรมที่ช่วยในการวินิจฉัย และติดตามเชื้อแบคทีเรียดื้อยา รวมไปถึงยาต้านจุลชีพทางที่เป็นทางเลือกใหม่ จึงมีความจำเป็นอย่างยิ่ง หน่วยวิจัยนวัตกรรมตรวจวินิจฉัยเชื้อดื้อยา ภายใต้สังกัดภาควิชาเวชศาสตร์การธนาคารเลือดและจุลชีววิทยาคลินิก คณะสหเวชศาสตร์ จุฬาลงกรณ์มหาวิทยาลัย ได้ถูกก่อตั้งจากกลุ่มวิจัยเดิมในปี พ.ศ. 2563 โดยมีพันธกิจในการพัฒนาชุดตรวจวินิจฉัยแบคทีเรียดื้อยาอย่างรวดเร็ว รวมไปถึงการวิจัย ค้นคว้าเกี่ยวกับกลไกการดื้อยาของเชื้อแบคทีเรีย การแพร่กระจายเชื้อแบคทีเรียดื้อยา และการศึกษาการรักษาทางเลือกเพื่อลดปัญหาของเชื้อแบคทีเรียดื้อยาในปัจจุบัน Overview Antimicrobial resistance (AMR) has been a global problem during these last decades. According to the World Health Organization (WHO), the spread of antimicrobial-resistant bacteria has increased…

หน่วยปฏิบัติการวิจัยด้านออกซิเดชั่นในโรคเม็ดเลือดแดง

หน่วยปฏิบัติการวิจัยด้านออกซิเดชั่นในโรคเม็ดเลือดแดง

Oxidation in Red Cell Disorders Research Unit เม็ดเลือดแดงเป็นเซลล์ที่มีจำนวนมากที่สุดในร่างกาย หากมีโรคหรือภาวะที่ส่งผลกระทบต่อการทำงานของเม็ดเลือดแดง หรือส่งผลให้เร่งปฏิกิริยาสันดาป (oxidation) อาจเหนี่ยวนำให้เม็ดเลือดแดงสามารถทำหน้าที่ได้ไม่สมบูรณ์ หรือเกิดการแตกทำลายของเม็ดเลือดแดง ซึ่งจะส่งผลโดยตรงต่อร่างกายให้ไม่สามารถทำงานได้อย่างเต็มประสิทธิภาพและเกิดพยาธิสภาพต่างๆตามมาได้ ในระยะเวลาประมาณกว่า 10 ปีคณะผู้วิจัยได้มีส่วนในการพัฒนาองค์ความรู้ใหม่และสร้างนวัตกรรม เกี่ยวกับการวิจัยการออกซิเดชั่นในเม็ดเลือดแดง ทั้งในโรคธาลัสซีเมีย โรคมาลาเรีย และภาวะพร่องเอนไซม์ G6PD ซึ่งล้วนแต่ส่งผลให้เกิดความผิดปกติในเม็ดเลือดแดง โดยมีวัตถุประสงค์ ดังนี้ วิสัยทัศน์ ส่งเสริมการผลิตผลงานวิจัย องค์ความรู้ นวัตกรรม และเทคโนโลยีการตรวจวินิจฉัยจากงานวิจัยด้าน ออกซิเดชั่นในเม็ดเลือดแดง เพื่อนำไปสู่การใช้ประโยชน์อย่างเป็นรูปธรรม และเผยแพร่ความรู้ โดยความร่วมมือของภาคส่วนต่างๆ ในระดับชาติและนานาชาติ งานวิจัยของหน่วยวิจัยออกซิเดชั่นในโรคเม็ดเลือดแดง ประกอบไปด้วย การศึกษาใน 3 ลักษณะ ได้แก่ 1. การศึกษาเชิงลึกเพื่อพัฒนาองค์ความรู้ใหม่ คณะผู้วิจัยต้องการศึกษากลไกความผิดปกติ (Cell signaling pathways) ที่เกี่ยวข้องกับภาวะออกซิเดชันในเซลล์เม็ดเลือดแดงตัวอ่อนเพาะเลี้ยงมาจากเซลล์ต้นกำเนิด (Stem cell culture) ในผู้ป่วยโรคธาลัสซีเมีย/ผู้ที่มีภาวะพร่องเอ็นไซม์ G6PD รวมถึงศึกษาเม็ดเลือดแดงที่พร่องเอนไซม์ G6PD…

หน่วยปฏิบัติการวิจัยเพื่อพัฒนาประสิทธิภาพทางการเคลื่อนไหวของมนุษย์

หน่วยปฏิบัติการวิจัยเพื่อพัฒนาประสิทธิภาพทางการเคลื่อนไหวของมนุษย์

การควบคุมการเคลื่อนไหวของมนุษย์เป็นหนึ่งในแง่มุมที่สำคัญของการทำงานในชีวิตประจำวัน ปัญหาการควบคุมการเคลื่อนไหวสามารถนำไปสู่ความบกพร่องของความสามารถในการปฏิบัติงานและการทำกิจกรรมทางสังคม หน่วยปฏิบัติการวิจัยเพื่อพัฒนาประสิทธิภาพทางการเคลื่อนไหวของมนุษย์มีเป้าหมายการวิจัยเพื่อรวบรวมและประมวลหลักฐานเกี่ยวกับการเพิ่มประสิทธิภาพการทำงานของกล้ามเนื้อและกิจกรรมของมนุษย์ทุกวัยที่เชื่อมโยงกับผู้ที่มีสุขภาพดี นักกีฬา รวมถึงผู้ที่มีความผิดปกติทางระบบกระดูกและกล้ามเนื้อ ผู้ที่มีความผิดปกติทางระบบประสาท ผู้ที่มีความผิดปกติทางระบบหัวใจ หลอดเลือดและระบบทางเดินหายใจ เพื่อให้เข้าใจข้อมูลพื้นฐานรวมถึงการแก้ไขปัญหาการเคลื่อนไหวของมนุษย์ หน่วยปฏิบัติการวิจัยฯ ได้ดำเนินการวิจัยหลายด้าน เช่น ชีวกลศาสตร์การเคลื่อนไหวของมนุษย์, การทำงานของกล้ามเนื้อ, การวิเคราะห์อุบัติการณ์/ความชุก, การประเมินปัจจัยเสี่ยง, การประเมิน, โปรแกรมการฟื้นฟู และโปรแกรมป้องกัน ขอบเขตการวิจัย ความร่วมมือ Chulabhorn Hospital งานวิจัยเด่น ผลงานตีพิมพ์ในวารสารวิชาการระดับชาติและนานาชาติ ติดต่อ ผู้ช่วยศาสตราจารย์ ดร.สุจิตรา บุญหยง คณะสหเวชศาสตร์ จุฬาลงกรณ์มหาวิทยาลัยถนนพญาไท แขวงวังใหม่ เขตปทุมวัน กรุงเทพมหานคร 10330

หน่วยปฏิบัติการวิจัยทางด้านผลิตภัณฑ์ธรรมชาติเพื่อป้องกันความเสื่อมของเซลล์ประสาทและต้านความชรา

หน่วยปฏิบัติการวิจัยทางด้านผลิตภัณฑ์ธรรมชาติเพื่อป้องกันความเสื่อมของเซลล์ประสาทและต้านความชรา

Natural Products for Neuroprotection and Anti-ageing (Neur-Age Natura) Research Unit หน่วยปฏิบัติการวิจัยทางด้านผลิตภัณฑ์ธรรมชาติเพื่อป้องกันความเสื่อมของเซลล์ประสาทและต้านความชรา ตั้งอยู่ที่คณะสหเวชศาสตร์ จุฬาลงกรณ์มหาวิทยาลัย  มีวัตถุประสงค์เพื่อศึกษาวิจัย ฤทธิ์และกลไกของผลิตภัณฑ์จากธรรมชาติในการป้องกันและรักษาโรคไม่ติดต่อและโรคติดเชื้อ โดยเฉพาะอย่างยิ่ง การต้านความชราและการเสื่อมสภาพของเซลล์ในระบบประสาท หน่วยปฏิบัติการวิจัยผลิตภัณฑ์ทางธรรมชาติ มีการวิจัยเพื่อศึกษาค้นคว้าหาอาหารและยาใหม่  มีการวิเคราะห์สารสกัดจากผลิตภัณฑ์ธรรมชาติและสารพฤกษเคมีที่แยกออกมาจากสารสกัดหยาบ ด้วยความร่วมมือกับสถาบันที่มีชื่อเสียงระดับโลกหลายแห่ง คณะผู้วิจัย ได้บูรณาการทั้งด้านเคมีและชีวภาพที่ทันสมัย เพื่อออกแบบและศึกษาค้นคว้าผลิตภัณฑ์จากธรรมชาติ นอกจากนี้ เราได้ร่วมมือกับมหาวิทยาลัยต่างๆ และภาคเอกชนในประเทศไทย  ดังนั้น คณาจารย์ที่มีส่วนร่วมในการวิจัยยาและผลิตภัณฑ์จากธรรมชาติ มุ่งเป้าเพื่อความเป็นเลิศในการพัฒนาและศึกษายาชนิดใหม่ ซึ่งนำไปสู่องค์ความรู้ในการตีพิมพ์ผลงานในวารสารชั้นเยี่ยม และ การสร้างนวัตกรรม เพื่อก่อให้เกิดความยั่งยืน โดยนำไปประยุกต์ใช้ให้เกิดประโยชน์อย่างแท้จริง ขอบเขตการวิจัย ความร่วมมือ งานวิจัยเด่น C. elegans เป็นหนอน ซึ่งเป็นโมเดลที่ใช้ในการศึกษาเพื่อค้นหายาใหม่จากผลิตภัณฑ์ธรรมชาติที่มีสรรพคุณในด้านต่างๆ ได้แก่ การต้านความชรา ความต้านความเครียด การป้องกันเซลล์ประสาท การตอบสนองของระบบภูมิคุ้มกัน เป็นต้น ในภาพนี้ คณะผู้วิจัย กำลังศึกษาถึงระดับความชราของหนอนที่ได้รับการรักษาด้วยสารสกัดจากพืชสมุนไพร ที่มีคุณสมบัติในการต้านความชรา สีเขียวแสดงถึงการสะสมของโปรตีน lipofuscin ที่เรืองแสงฟลูออเรสเซนท์ โดยโปรตีนนี้จะเพิ่มขึ้นตามอายุที่มากขึ้น…